Policistična bolezen ledvic
Bolezen je dedna in je bila najprej odkrita pri perzijskih mačah. Angleško jo imenujemo Polycystic kidney disease (PKD) . Poznana je od leta 1967, resnih študij o tej bolezni pa ni bilo vse do leta 1990.
KAJ BOLEZEN POVZROČI PRI MAČKAH?
Bolezen se pojavi pri odraslih mačkah; kaže pa se s povečanimi ledvicami in zmanjšanim delovanjem ledvic nekje med tretjim in desetim letom življenja. Bolezen je dedna in ciste so v ledvicah prisotne od rojstva, vendar so manjšega premera. Velikost cist variira od manj kot 1 mm pa do vec kot 1 cm. Starejše živali imajo več cist in so lahko tudi zelo velike do nekaj cm. Težave se pojavijo pri živali šele, ko začnejo ciste rasti in s tem povečajo velikost ledvic in zmanjšajo funkcijo samih ledvic. Končna posledica je odpoved ledvic. Bolezen se pokaže z zmanjšanim apetitom ali s popolnim odklanjanjem hrane, povečanim pitjem in uriniranjem ter hujšanjem.
Zdrava ledvica in ledvica s cističnimi spremembami:


KAKO BOLEZEN DIAGNOSTICIRAMO?
PKD diagnosticiramo z ultrazvočno preiskavo ledvic. To je neinvazivna in neboleča diagnostična metoda, ki omogoča ugotavljanje prisotnosti cist v ledvicah že zelo zgodaj. Preiskavo lahko naredimo že pri 8 do 10 tednov starih mucah, ki jih pred samim pregledom na trebuhu postrižemo; preiskavo pa izkušen veterinar s kvalitetnim ultrazvočnim aparatom opravi v nekaj minutah.
Ker so v zadnjih letih postale genetske preiskave dostopne tudi širši množici uporabnikov, zaradi enostavnosti odvzema vzorcev za tovrstne preiskave, ter nenazadnje zaradi zanesljivosti testov, smo tudi pri nas uvedli diagnostiko PKD s pomočjo genske analize vzorca sline ali krvi.

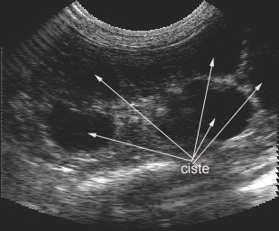
Ultrazvočni posnetek ledvičnih cist pri mački:

KAKO SE MAČKA NALEZE BOLEZNI?
PKD NI NALEZLJIVA BOLEZEN! Novejši izsledki raziskav govorijo v prid tezi, da je bolezen dedna in se torej prenaša iz generacije v generacijo s parjenjem med mačkami, ki imajo gen za nastanek ledvičnih cist. Potomci zbolijo za to boleznijo vedno, če ima vsaj eden od staršev en tak gen.
KAKŠNA JE TERAPIJA?
Specifičnega zdravljenja za to bolezen ni. Zdravljenje je enako kot pri kronični odpovedi ledvic ne glede na vzrok nastanka. Zdravljenje je usmerjeno v zmanjšanje nastanka škodljivih presnovkov beljakovin, zmanjšanje resorbcije fosforja in zdravljenje anemije, ki se pojavi praviloma v terminalni fazi PKD.
KAKO SE BOLEZNI OBVARUJEMO?
Ker je bolezen dedna (gre za autosomalno dominantno dedovanje) je sledenje in eliminacija tega gena relativno enostavna. Vzrediteljem svetujemo, da vse plemenske živali pripeljejo na ultrazvočni pregled preden jih začnejo pariti. Pregled za žival ni boleč in traja nekaj minut, rezultat preiskave pa je viden takoj. V primeru, da je pregledana žival pozitivna na PKD, potem vsekakor odsvetujemo parjenje. Še bolje je, žival steriliziramo oz. kastriramo, za vzrejo pa si naj vzreditelj nabavi žival, ki izvira iz PKD negativne linije.